「アッ その癖 歯並びが危ない!」
お子様がこのような癖をしていませんか?
歯並びは小さいころからの癖や、毎日の姿勢など様々な要因が影響します。
早めのアドバイスにより、不正な歯並びや噛みあわせを予防できることもあります。
当医院では、全部の歯並びを治す全矯正から、比較的お値段がお安くできる低学年時に限られた
部分的な矯正も行っております。
また、矯正治療は大人の方でも十分治療可能ですので、年齢が遅すぎることもありません。
矯正治療専門の歯科医師にお気軽にご相談ください。
矯正治療診断料は3,300円(税込)です。
お電話(0575-35-2030)にてご予約の上、ご来院下さい。
今月の矯正相談日はお知らせコーナーで
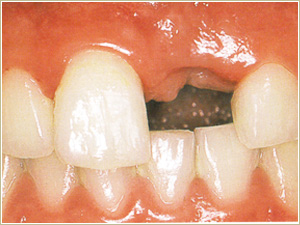
インプラント治療とは、歯の抜けたところにインプラント(人工歯根)を埋め込み、人工の歯をその上に取り付ける治療法です。
埋め込まれたインプラントは骨と結合してしっかりと固定されます。
自分の歯に近い感覚でお食事を楽しめます。
ご相談だけでも承りますので、お気軽にご来院下さい。
![]() |
![]() |
![]() |
通院が困難な方のご自宅に伺い、歯科治療を行っております。
訪問診療には、往診と口腔ケア(お口のお手入れ)の2種類があります。
往診
歯が痛い、入れ歯の具合が悪い、など治療が必要な場合は歯科医師が往診に伺います。ご自宅だけでなく、施設入居先、入院中の病院への訪問も承っております。
口腔ケア
ご自宅に歯科医師や歯科衛生士が定期的に訪問し、ご家族の代わりに歯磨きや義歯の清掃を行います。また日常的なお口のお手入れ方法を指導致します。
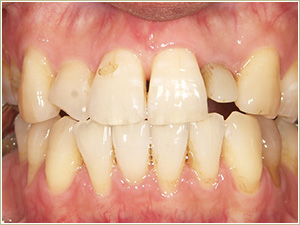
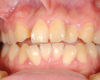
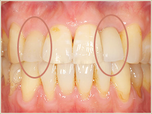
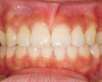
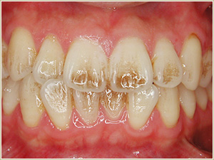
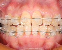
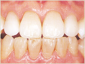
矯正治療はお金も期間もかかる。お口に装置をはめたくない。
そんな方にお勧めです。
気になる前歯だけを治して素敵な笑顔を作りませんか。
![]() |
![]() |
![]() |
乳歯はいずれ抜ける歯だからと放っておいていいわけではありません。
虫歯によって永久歯がうまく萌えず歯並びが悪くなったりする場合があります。
小児歯科では、歯並びアドバイスも致します。
当医院ではアニメビデオを観ながら、楽しく治療を受けられます。
虫歯や歯周病の予防を目的に歯科医院でメンテナンスを受けることは一般的なこととなりました。
当院では『病気にならないための予防』からさらに一歩進んだ『美しく健康な口元をつくること』を目的としたお口のエステを始めました。
食べ物による着色やタバコのヤニなど、日常の歯磨きだけでは落としきれない汚れをプロのクリーニングでピカピカにします。
表面がツルツルになるので気分が爽快になります。
![]() |
![]() |
![]() |
プロフェッショナルクリーニングよりももっと白く美しい歯にしたい方におすすめです。
ご自宅で手軽にできるホームホワイトニングを行っております。
![]() |
![]() |
![]() |

入れ歯で思うように噛めない。話がしずらい。
今お使いの義歯の状況をよく把握し、ご要望をしっかりお聞きしながらベストな義歯を作製致します。
入れ歯が壊れてお困りの患者さまは技工士がその日のうちに入れ歯を治しますのでご安心ください。
※下記の義歯は全て保険外治療となります。
金属のバネが気になる方にお勧めです。
![]() |
![]() |
![]() |
金属床義歯
上あご部分が金属で薄くできていますので、丈夫でお口の中が広く感じます。
温かいもの、冷たいものが感じやすくお食事が美味しくいただけます。
インプラント義歯
入れ歯が動いてお困りの方にお勧めです。
インプラント(人工歯根)を骨の中に埋め込み、その上に義歯を接合するタイプのものです。
虫歯や歯周病の治療を行います。
高周波電気治療器で効果的な治療を行っております。
当医院では患者さまのご希望に沿った治療内容を心掛けておりますので、お気軽にご相談ください。
※患者様に使用する器具は滅菌済みの器具を使用しております。
![]() 高周波電気治療器 |
![]() 滅菌済みの器具 |